云开体育这项工夫就像一把“无形的手术刀”-开云平台网站皇马赞助商| 开云平台官方ac米兰赞助商 最新官网入口

提到“肺鼎新”,好多东说念主的第一反映是反复调停、周期漫长。但在湖南省肿瘤病院,一次高精度放疗,就为一位患者同期惩办了三个微微恙灶,把复杂问题处理得高效而精确。
诊疗难点:微小、多发、毗邻危急器官
来自邵阳40岁的患者彭女士(假名),曾因左大腿滑膜赘瘤接纳过系总揽疗。术后复查时,却发现双肺出现了三个新的鼎新灶。
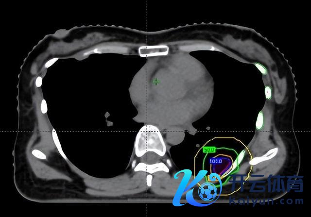
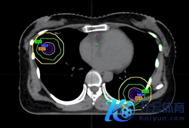
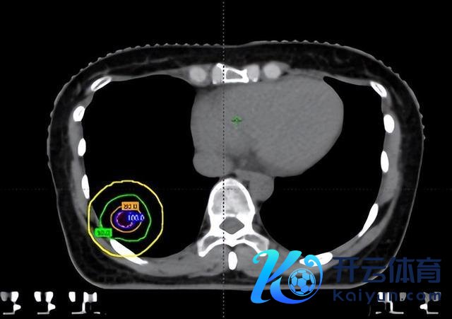
这三个病灶有几个共同特色:一是体积很小,直径均不到1厘米;二是位置分散,分辨位于不同肺叶;三是其中一个紧贴肋骨,险些莫得“安全距离”。
这也意味着调停必须相等“拿捏分寸”:剂量低了,肿瘤清不干净;剂量高了,又可能伤到肋骨,带来难受以至骨折风险。传统放疗在这种情况下,相似会有所费神。
工夫破局:把放疗形成“良好雕琢”
面临这么的勤劳,湖南省肿瘤病院胸部放疗二科胡英教训团队辘集放疗轮廓工夫部,罗致了EDGE速锋刀立体定向放疗。
粗浅来说,这项工夫就像一把“无形的手术刀”,无须开刀,就能在体内精确锁定肿瘤进行打击。
但着实的要道,在于“良好”两个字。
在调停前,团队通过四维CT对三个病灶进行精确定位,尤其是紧贴肋骨的阿谁病灶,连与肋骨之间极其微小的裂缝齐被明晰标注出来。
随后参加最中枢的剂量筹算步伐。胡英教训与李忠伟、雷大明物理师反复推演射澄莹径和强度溜达,把高剂量区域严格法例在肿瘤规模内,同期让剂量在极短距离内速即着落。不错解析为,在体内完成了一次“毫米级雕琢”:肿瘤被精确障翳,而近在目前的肋骨却被保护在安全规模内。



一站式完成:恶果与职守双优化
与好多东说念主遐想不同,这么高难度的调停并不需要反复进行。
依托速锋刀系统的高恶果,此次调停在一次疗程中就完成了对三个病灶的一齐照耀。对患者来说,不仅减少了屡次来回病院的时刻资本,也裁减了举座调停用度,悉数历程愈加爽快、可承受。
彭女士调停历程告成,仅出现微小疲困,无辐射性肺炎等常见并发症,更无肋骨及胸膜相干不适,生存质地未受影响。
行家不雅点:精确放疗正在改动遴荐
胡英教训默示,这个病例的艳羡不仅在于“完成了一例复杂调停”,更在于提供了一种新的想路:关于体积小、数目有限、位置绝顶的鼎新瘤,或然不错通过精确放疗杀青一次性拆除,而不必依赖反复手术或始终拖延。
换句话说,往常常见的“两难”——既要透彻隐藏肿瘤,又要保护盛大组织,如今正在被工夫迟缓冲突。
从“法例”到“拆除”:调停正在变得更有温度
跟着速锋刀等精确放疗工夫的纯属期骗,肿瘤局部调停的范畴正在被不断拓宽。关于不适执术、或不肯接纳屡次侵入性调停的患者来说,这种高精度、低创伤的神态,正在成为越来越要紧的遴荐。
从“尽量法例”到“精确拆除”,变化的不仅仅工夫云开体育,还有患者的生存质地和调停体验。湖南省肿瘤病院也正通过一次次执行,让肿瘤调停更有分寸——既有劲度,也有温度。
